文獻核心觀點與精要快速閱覽:
① 基于熱消融治療邊緣顯示、肝包膜破裂與毗鄰臟器損傷、膈肌熱損傷的三個問題,冷凍消融治療毗鄰膈肌腫瘤的回顧性評價
② 老年HCC患者更高比例無法使用傳統手術,冷凍消融VS射頻消融中的一些治療優勢(RCT)
③ 冷凍消融可以幫助提供高危部位(不可切除)肝癌的操作精細度,關于安全性、可行性和有效性的探討
01
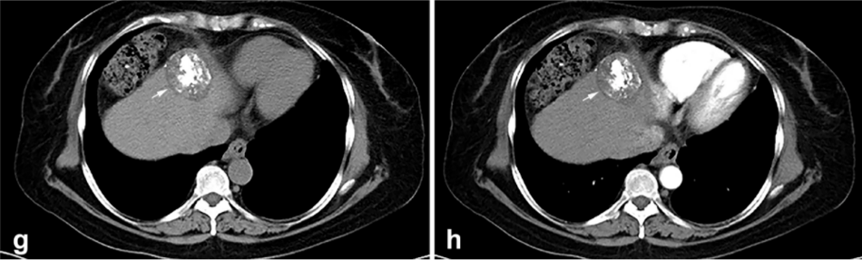
基于熱消融治療邊緣顯示、肝包膜破裂與毗鄰臟器損傷、膈肌熱損傷的三個問題,冷凍消融治療毗鄰膈肌腫瘤的回顧性評價

J Vasc Interv Radiol. 2020 Mar;31(3):393-400.e1. | IF: 3.682
背景:由于一些原因,位于膈肌附近的腫瘤的熱消融在技術上具有挑戰性。首先,術中計算機掃描和超聲檢查無法清晰顯示射頻消融/微波消融切緣。第二,消融過程中不利的針分布和過熱可能導致肝包膜破裂,并對膈、肺和心臟造成嚴重損傷。第三,即使使用人工腹水,仍有9~22%的患者因肝周粘連或腫瘤位置靠近肝表面而導致膈肌熱損傷。冷凍消融可能是毗鄰膈肌的HCC的一種有前途的治療方法,因為在消融過程中使用CT和US可以很好地顯示腫瘤邊緣。盡管一些研究評估了在高危區域使用冷凍消融治療HCC,但很少有研究針對膈肌臨近區域。
部分結果:
① 術后 1 月腫瘤治療反應:冷凍消融術后一個月腫瘤疾病控制率達95.9%。


③ 總生存曲線和局部腫瘤進展曲線:冷凍消融后中位生存時間為 27.3 個月,中位局部腫瘤進展時間為 20.9 個月。

02
老年HCC患者更高比例無法使用傳統手術,冷凍消融VS射頻消融中的一些治療優勢(RCT)

Liver International. 2022 Apr;42(4):918-929. | IF: 8.754

② 無腫瘤生存曲線和總生存曲線

③ 局部腫瘤進展率曲線和直徑>3 cm病灶局部腫瘤進展率曲線

03
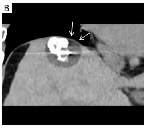
冷凍消融可以幫助提供高危部位(不可切除)肝癌的操作精細度,關于安全性、可行性和有效性的探討

Quant Imaging Med Surg. 2019 Dec;9(12):1948-1957. | IF: 4.630
背景:肝癌是中國最常見的惡性腫瘤之一,發病率和死亡率都很高。雖然手術切除是最好的治療方法,但大多數患者處于晚期或直到住院才有手術指征。對于單個腫瘤直徑小于5厘米的患者,微創治療與手術切除效果相當;多個病灶小于3個,單個病灶最大直徑小于3cm;不侵犯血管、膽管、鄰近器官和遠處轉移。雖然一些傳統消融技術方式可以使部分患者受益,但不適用于特殊部位肝癌(定義為毗鄰大血管、肝外臟器和重要結構的腫瘤)的治療。冷凍消融作為一種相對較新的治療方式,具有明顯的冰球效果、療效好、激活抗腫瘤免疫、并發癥發生率低等優點,尤其適用于特殊部位肝癌患者的治療。我們的研究目的是探討CA治療特殊部位肝癌的安全性、可行性和有效性。
部分結果:
① 在我們的研究中,技術成功率為100%。動態增強MR檢查隨訪1個月,66例患者首次技術有效率為65例(98.5%),MR影像學未發現外周臟器損傷。中位隨訪時間14個月(范圍2-28個月)。高危部位肝癌局部腫瘤進展率曲線:6、9、15和24個月的累積局部腫瘤進展率分別為10.2%、16.5%、20.9%和30.5%。


